Incidental Cutaneous Melanoma
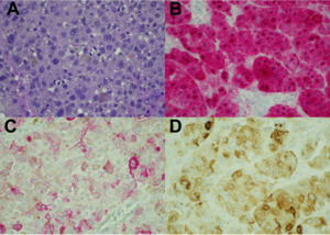
A 34-year-old man chronically experiencing homelessness presented to the hospital with sepsis due to purulent soft tissue infections of both his left hand and right shin. In addition to these infections, he reported a progressively enlarging lesion on his back which bothered him when he slept supine on the ground, as this caused it to bleed. A detailed skin examination was performed, and a three-centimeter pedunculated, irregularly shaped, spontaneously bleeding nodule was noted on his midback (Figure 1). This lesion was accompanied by adjacent, irregularly spaced erythematous papulonodules, suspicious for satellite lesions. Dermatologic consultation was obtained and after discussion with the patient, a narrow excisional biopsy of the primary lesion was performed. Hematoxylin and eosin staining and immunohistochemical staining of the biopsy revealed invasive nodular melanoma (Breslow depth > 10mm) with at least 4 mitoses per millimeter and as many as 10 mitoses in hotspots (Figure 2). The suspicious satellite lesions were not biopsied, and the biopsy was unable to confirm vascular invasion. The patient initially expressed interest in arranging outpatient follow up care and was referred for wide local excision and sentinel lymph node biopsy. Despite several discussions with inpatient and ambulatory providers, however, he ultimately declined follow up for his melanoma and he was unfortunately lost to follow up.
Melanoma is a malignant neoplasm originating from melanin pigment producing melanocytes.1 As most melanocytes exist in the basal layer of the epidermis, greater than 90% of all melanomas are cutaneous melanomas, though melanoma can originate in other tissues (e.g. mucosal, uveal).1,2 In 2024, an estimated 100,640 patients in the United States will be diagnosed with cutaneous melanoma, with an estimated 8290 patients dying of the disease.3 The incidence of melanoma has risen steadily since the 1950s, likely due to increases in diagnosis but also from increases in certain risk factors such as exposure to ultraviolet radiation through unprotected sun exposure, sunburns, and tanning beds.1,2 Other risk factors for melanoma include male sex, high nevus counts, atypical nevi, and two or more first-degree relatives with melanoma.1,4 Breslow thickness, a measurement of how far the melanoma has invaded the body on a biopsied specimen, remains an important piece of melanoma staging due to its prognostic reliability as a greater Breslow thickness is more often associated with a worse prognosis due to higher disease burden and risk of spread.5,6 Advanced, unresectable, or metastatic cutaneous melanoma historically carried a high mortality rate, however the advent of effective systemic therapies, particularly checkpoint inhibitor immunotherapy, specifically BRAF and MEK inhibitors, has markedly improved prognosis.1,4,7
While most cutaneous melanomas are detected by physician skin examinations, there is no strong evidence to recommend routine screening.1,8 Patients who do not routinely access care or who have lesions in areas that are not easily self-examined may be less likely to recognize melanoma and it is important for hospitalists to refer suspicious lesions for timely diagnosis and treatment. Patients experiencing homelessness are a particularly vulnerable population who are more likely to be diagnosed with cutaneous malignancies compared to those not experiencing homelessness.9 Performing skin biopsies in acute care settings remains controversial, though it is important to note that for a variety of cutaneous diseases, dermatologic specialist consultation in the hospital is associated with higher diagnostic accuracy and improved outcomes including lower lengths of stay, rates of readmission, and cost.10,11 Hospitalists encountering lesions suspicious for melanoma, particularly in vulnerable populations, should engage patients in shared decision making, alongside expert consultation when appropriate, to decide if a particular lesion should be biopsied in the acute care setting as a part of the timely diagnosis and treatment referral process.
Author Contributions
All authors have reviewed the final manuscript prior to submission. All the authors have contributed significantly to the manuscript, per the International Committee of Medical Journal Editors criteria of authorship.
-
Substantial contributions to the conception or design of the work; or the acquisition, analysis, or interpretation of data for the work; AND
-
Drafting the work or revising it critically for important intellectual content; AND
-
Final approval of the version to be published; AND
-
Agreement to be accountable for all aspects of the work in ensuring that questions related to the accuracy or integrity of any part of the work are appropriately investigated and resolved.
Disclosures/Conflicts of Interest
The authors declare they have no conflicts of interest
Corresponding Author
Tyler Larsen, MD, FACP
11301 Wilshire Blvd Building 500, Suite 3214-B
Los Angeles, CA 90073
Email: tlarsen@mednet.ucla.edu

_and_immunohistochemical_stains_of_the_nodular_lesion_(all_imag.png)