Background
Toxic epidermal necrolysis (TEN) is a potentially life-threatening, rapidly progressing mucocutaneous reaction characterized by mucosal and cutaneous exfoliation covering more than 30% of the body surface area (BSA), often accompanied by systemic involvement.1,2 A TEN-like acute cutaneous lupus reaction is a rare entity, with a prevalence of approximately 1.2%.3 It typically occurs in patients with subacute or acute cutaneous lupus erythematosus (LE) and presents with features of TEN, but with an unusual subacute progression and no apparent high-risk drug ingestion. The term “acute syndrome of apoptotic pan-epidermolysis” (ASAP) has been proposed to describe massive apoptotic injury of the epidermis, resulting in life-threatening dermal shedding associated with drugs, LE, graft-versus-host disease, or pseudo-porphyria.4 Patients with autoimmune disorders are at risk of developing secondary HLH, known as macrophage activation syndrome (MAS), which has been reported in both new and previously diagnosed SLE patients.5–7 In adults, HLH is observed in 12% of adult-onset Still’s disease patients and 2.4-4% of SLE patients.8,9 We describe a young patient with new-onset SLE with concurrent secondary HLH and TEN cutaneous eruption.
Case Presentation
A 36-year-old man with a history of arthritis, previously diagnosed as presumptive seronegative rheumatoid arthritis (RA), presented with fevers, abdominal pain, vomiting, fatigue, rash, and a 50-pound weight loss over four months. He had been managed with prednisone, meloxicam, methotrexate, and hydroxychloroquine by his outpatient rheumatologist. Prior to admission, he had multiple visits to an outside hospital for fevers, intractable vomiting, fatigue, and rash, and was treated with various antibiotics without improvement. His initial cutaneous symptoms appeared on his face and back shortly after the onset of gastrointestinal symptoms. He presented to our hospital due to ongoing symptoms, periodic fevers, and a worsening, painful rash covering his entire body.
On presentation, his vital signs were temperature 98.7°F, pulse 97 beats/min, respiratory rate 20 breaths/min, and blood pressure 144/85 mmHg. He had confluent areas of erythema over the central face and scattered 0.2-0.5 cm round to oval pink atypical targetoid macules and patches with dusky red-purple centers on the trunk and extremities, including palms and soles, covering about 30% of his total body surface area. He also had several areas of full-thickness desquamation on the left upper chest, shoulder, and back (Figure 1). Hemorrhagic crusting was noted over the upper and lower vermillion lips, and scattered superficial erosions were observed on the buccal cheeks, tongue, and hard palate. His conjunctivae were normal. He had pitting edema of his legs extending to the distal thighs.
Laboratory results were significant for pancytopenia with nadirs in hemoglobin of 6.9 g/dL, WBC 2.3 x 10^3/µL, and platelets of 60 x 10^3/µL during admission. Autoimmune workup revealed a positive ANA titer of 1:320, anti-chromatin >8 AI (0-0.9 AI), dsDNA 107 IU/mL (<5 IU/mL), hypocomplementemia with C3 at 26 mg/dL (90-180 mg/dL) and C4 at 7 mg/dL (10-40 mg/dL), and mildly elevated rheumatoid factor at 27 IU/mL (<13 IU/mL). Other findings included significantly elevated ferritin at 1663 ng/mL (30-400 ng/mL), elevated C-reactive protein at 1.10 mg/dL (0-0.5 mg/dL), hypertriglyceridemia at 223 mg/dL (<150 mg/dL), and a normal sedimentation rate (ESR) at 12 mm/hr (0-14 mm/hr). CT of the abdomen/pelvis showed splenomegaly.
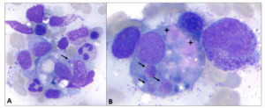
Infectious workup was significant for low titer positive HHV-6 IgM at 1:20 (<1:10) and IgG at 19.44 (0.00-0.75). Blood cultures, along with Ehrlichia IgM and IgG levels and Mycoplasma IgM and IgG levels, were negative. Additional studies were negative for HIV, CMV, EBV, RPR, HHV-7, HSV 1/2, and Hepatitis B and C. A urine drug panel was negative for substance use but significant for proteinuria, with no hematuria noted on urinalysis. Punch biopsy of the skin showed interface dermatitis with full-thickness necrosis and perifollicular inflammation with focal necrosis. Direct immunofluorescence showed granular basement membrane deposition of IgM and C3, as well as intracytoplasmic staining of IgG. Bone marrow biopsy revealed increased hemophagocytic histiocytosis consistent with a diagnosis of HLH (Figure 2).
The patient was diagnosed with SLE, complicated by HLH and TEN. He was initially started on 1 mg/kg prednisone, IVIG 400 mg/kg/d for 5 days, and hydroxychloroquine 200 mg twice a day. Due to worsening desquamation of the skin, he received pulse dose steroids, consisting of 1g methylprednisolone for 3 days. Improvement in all cell lines and skin disease was observed prior to hospital discharge. He was sent home on prednisone 1 mg/kg, hydroxychloroquine 200 mg twice a day, mycophenolate mofetil 1500 mg twice a day, and atovaquone 1500 mg daily for PJP prophylaxis.
Discussion
Our case of new-onset SLE with concurrent secondary HLH and TEN cutaneous eruption is unique. The patient met the criteria for SLE based on the 1997 ACR SLE classification criteria (+ANA, cytopenia, longstanding history of arthritis, and +dsDNA).10,11 He also met the HLH criteria established by the HLH-2004 study group, which is still used for definitive diagnosis, even though it was primarily validated in children. In 2009, modified HLH criteria were introduced.12–14 Preliminary diagnostic guidelines for macrophage activation syndrome (MAS) in SLE were also met.15 His bone marrow biopsy showed hemophagocytosis with no evidence of malignancy. Diagnosis of TEN was suspected based on histopathology, which showed interface dermatitis with full-thickness necrosis and perifollicular inflammation. The follicular involvement also raised the differential of TEN presentation of acute cutaneous lupus erythematosus. Direct immunofluorescence (DIF) showed findings consistent with SLE, including intracytoplasmic particulate deposition in the epidermis with anti-human IgG conjugate and focal granular deposits of IgM and C3 at the basement membrane zone. No immunoreactions were detected using specific anti-human IgA and fibrin conjugates. These findings were consistent with a history of lupus. Differentiating classic TEN from acute cutaneous lupus erythematosus with TEN-like reactions is further complicated by the higher rates of TEN in patients with connective tissue disease.
Treatment of this patient was complex and targeted toward the management of “life threatening” SLE, as this was thought to be the primary reason for HLH development.16 He was started on high-dose prednisone and received IVIG as adjunctive therapy.17 All unnecessary medications were discontinued, and diligent wound care was incorporated. While literature regarding standardized TEN treatment is limited, therapies addressing all underlying possibilities were considered. Therapeutic management of secondary HLH/MAS is not standardized, and agents such as corticosteroids, IVIG, mycophenolate, cyclophosphamide, etoposide, and rituximab have been described.18 According to Gavand et al., treatment with high-dose steroids as first-line therapy has shown good response with high remission rates.19 Similarly, the use of corticosteroids and IVIG also showed high remission rates.17 Our patient was already being treated with high-dose steroids and IVIG. After histopathologic confirmation of TEN-like acute lupus erythematosus and ruling out malignancy, the patient was started on mycophenolate mofetil and hydroxychloroquine. The patient had complete recovery and good control of underlying lupus disease activity.
Patients with lupus and other rheumatologic diseases are at increased risk of developing SJS-TEN following exposures to medications and/or infectious etiologies. Certain viruses and bacterial infections have been thought to be potential risk factors for triggering HLH. Frequently associated viruses include human immunodeficiency virus (HIV), cytomegalovirus (CMV), and others in the herpes family. Common bacterial infections that can induce HLH include Mycobacterium tuberculosis, Rickettsia species, and Staphylococcus species.8 Our patient was found to be positive for HHV-6 IgM this may have been a false positive.20 The sensitivity of serodiagnosis of HHV-6 is variable; approximately five percent of healthy adults are IgM positive at any given time.20,21 Our patient was treated with a brief five-day course of ceftriaxone and azithromycin for community-acquired pneumonia based on CXR findings of patchy retrocardiac opacity. He did not receive any further antibiotic therapy and continued to improve with high-dose steroids and immunosuppressive therapy, which points against infection-associated HLH. In a retrospective analysis of clinical features of HLH in patients with systemic autoimmune diseases conducted by Fukaya et al., eight out of thirty cases of HLH had infection-associated HLH (in addition to having an underlying autoimmune disease).22 Among the causes of infections were EBV, CMV, herpes simplex virus, PCP, pneumonia, Enterococcus faecalis, and cholecystitis. Patients with infection-associated HLH were treated with immunosuppression as well as antibacterial/antiviral therapy. Presence of infection-associated HLH was considered a risk factor for poor prognosis and high mortality in the study.22
Due to the patient’s complex presentation and multiple preceding hospitalizations, the exact etiology of his eruption remains unclear. He had received several courses of various intravenous antibiotics at outside hospitals over a few months prior to presentation. Although drug-induced TEN remained on the differential, the slower onset, more prominent dermal inflammation, positive SLE serologies, and good response to high-dose glucocorticoids and mycophenolate mofetil favored TEN-like acute cutaneous lupus erythematosus as the unifying diagnosis.23
In summary, our patient met the criteria for HLH, TEN, and SLE, and to our knowledge, this is the first case presentation of such a simultaneous occurrence.11,12,15 We believe that an active lupus flare was the unifying diagnosis that mediated the clinical picture. Although rare, SLE is a disease associated with both TEN and HLH. Whether his prior diagnosis of seronegative rheumatoid arthritis was pre-clinical SLE remains unclear. Our case of new-onset SLE with associated secondary HLH/MAS and TEN presents a challenging diagnostic and therapeutic scenario. With a multidisciplinary approach and early clinical suspicion, we were able to initiate prompt treatment measures. The initial response to inpatient therapies and continued positive outpatient clinical course reiterate the importance of early diagnosis and intervention in this patient, who otherwise had risk factors for high mortality.
Author Contributions
All authors have reviewed the final manuscript prior to submission. All the authors have contributed significantly to the manuscript, per the International Committee of Medical Journal Editors criteria of authorship.
-
Substantial contributions to the conception or design of the work; or the acquisition, analysis, or interpretation of data for the work; AND
-
Drafting the work or revising it critically for important intellectual content; AND
-
Final approval of the version to be published; AND
-
Agreement to be accountable for all aspects of the work in ensuring that questions related to the accuracy or integrity of any part of the work are appropriately investigated and resolved.
Disclosures/Conflicts of Interest
The authors declare they have no conflicts of interest
Corresponding Author
Adrian Umpierrez, MD
Division of Hospital Medicine, Department of Medicine,
Emory University School of Medicine, Atlanta, GA
Email: aumpier@emory.edu



._a_wright_giemsa-stained_bone_marrow_aspirate_smear_obtained_from_the_patient_sho.png)