Case Presentation

A 34-year-old man with history of Crohn’s disease, complicated by intestinal fistulas presented with dyspnea on exertion. He reported that over three days prior to presentation he developed a new dry cough that was worsened with exertion. His cough was associated with bilateral pleuritic chest pain. Other symptoms included rhinorrhea, sore throat, fatigue, night sweats and unintentional weight loss (fifteen pounds in the previous three weeks). He denied fever, chills, headaches, nausea, vomiting, dysuria, hematuria, rashes, sick contacts, or recent travel. He was not vaccinated against SARS-CoV-2. He was undergoing treatment with infliximab for Crohn’s disease management; having received the most recent dose one month prior to presentation.

His medical history included Crohn’s disease with intestinal fistula formation, hypertension, diabetes mellitus, and obstructive sleep apnea. His medications included amlodipine, infliximab, lisinopril, metformin, metoprolol, and trazodone. He lived with his parents and siblings and was previously employed as an interstate tractor-trailer truck driver. He denied alcohol intake, tobacco use and recreational drug use. He reported a history of diabetes mellitus and hypertension in his family.

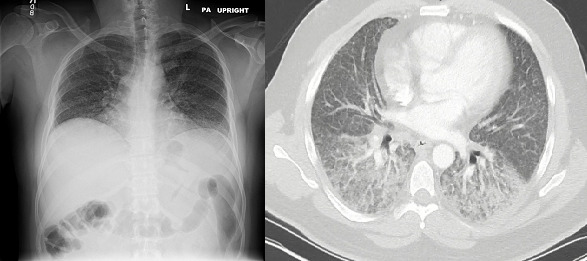
Upon physical examination, temperature was 97.6 ℉, heart rate 106 beats per minute, respiration rate 18 per minute, blood pressure was 128/86 mmHg, oxygen saturation of 88% while breathing ambient air. The patient appeared chronically ill. He was alert and awake. Moist mucous membranes without other lesions were noted in the oral cavity. Cardiac examination was notable for regular tachycardia without cardiac murmurs or extra heart sounds. Pulmonary auscultation was significant for fine inspiratory rales in mid-lung and bases bilaterally. Abdominal examination was unremarkable. No lower extremity edema was noted. Skin and neurological examinations were unremarkable. See Table for relevant laboratory data. See Figure for plain radiograph and computed tomography (CT) of the chest.

Table. Laboratory Data
Laboratory Result Reference Range, Adult On Admission
WBC 3.5-11.0 x 109/L 7.8 x 109/L
Hemoglobin 13.5-16.0 g/dL 15.2 g/dL
Hematocrit 37.0-47.0% 46%
MCV 80.0-98.0 fL 81.4 fL
Platelets 150-400 x 109/L 434 x 109/L
Neutrophil % 41%
Lymphocyte % 40.9%
Monocyte % 15.6%
Eosinophil % 1.2%
Band Neutrophil % Absent
Sodium 135-145 mEq/L 133 mEq/L
Potassium 3.6-5.1 mEq/L 4.5 mEq/L
Chloride 98-110 mEq/L 100 mEq/L
Bicarbonate 22-32 mEq/L 23 mEq/L
Anion Gap 3-13 10
BUN 6-24 mg/dL 18 mg/dL
Creatinine, serum 0.64-1.27 mg/dL 1.21 mg/dL
Glucose 67-99 mg/dL 114 mg/dL
Calcium 8.5-10.5 mg/dL 9.9 mg/dL
Respiratory Viral Panel
Chlamydia pneumoniae Not Detected
Mycoplasma pneumoniae Not Detected
SARS-CoV-2 Not Detected
Adenovirus Not Detected
Coronavirus (229E,HKU1, NL63, OC43) Not Detected
Human Metapneumovirus Not Detected
Rhinovirus/Enterovirus Not Detected
Influenza A Not Detected
Influenza B Not Detected
Parainfluenza virus 1-4 Not Detected
Respiratory Syncytial Virus A/B Not Detected
Figure. Plain radiograph of the chest (left panel) revealing bilateral interstitial opacities and computed tomography (CT) of the chest (right panel) revealing bilateral basal ground glass opacities.

Warren Alpert Medical School Student Presentations

Student (The Miriam Hospital)

Working Diagnosis: Aspiration Pneumonia secondary to a Tracheoesophageal Fistula

This patient’s dyspnea on exertion, night sweats, indolent unintentional weight loss, and bilateral pleuritic chest pain with tachycardia and hypoxia raise concern for the clinical diagnosis of pneumonia. Chest x-ray showed bilateral interstitial opacities, most prominently in the medial mid and inferior fields bilaterally; chest CT showed a patulous esophagus, bilateral basal ground glass opacities, interstitial/septal thickening, regions of mild atelectasis, tree & bud opacities bilaterally, and possible bronchiectasis. The imaging findings, which were prominent in gravity-dependent areas of the lung, as well the patulous esophagus, were concerning for chronic aspiration. My working diagnosis became a tracheoesophageal fistula, which is a reported pulmonary complication of fistulizing Crohn’s disease. The diagnosis may be confirmed with an upper gastrointestinal series using thickened water-soluble contrast material, a chest MRI and/or esophageal endoscopy and bronchoscopy.

Student (Rhode Island Hospital)

Working Diagnosis: Interstitial Lung Disease due to Infliximab

The patient’s findings were concerning for drug-induced interstitial lung disease (ILD) and my differential included atypical pneumonia and malignancy such as lymphoma. Pulmonary imaging displayed basal and peripheral inflammatory changes with an interstitial pattern as well ground glass opacities. Infliximab has been reported to cause ILD. I am concerned that the patient developed auto-antibodies after his most recent infliximab dose resulting in ILD. Pleuritic chest pain, sore throat and rhinorrhea may also occur as a result of infliximab therapy. I suspect ILD may have progressed in a subacute manner and became severe enough to cause symptoms at the time of presentation. I would want to review previous pulmonary imaging if available. Workup would include holding infliximab, bronchoscopy with bronchoalveolar lavage to rule out infection, and if negative would initiate systemic glucocorticoids.

Student (Kent County Hospital)

Working Diagnosis: Nocardiosis

Symptoms pertinent to my differential include pleuritic chest pain, sore throat, rhinorrhea and weight loss. These symptoms, along with crackles appreciated on pulmonary auscultation, absolute peripheral monocytosis and lower lobe infiltrates and interstitial septal thickening are consistent with pulmonary nocardiosis. My differential diagnoses include tuberculosis and pneumocystis pneumonia. Nocardia is a gram positive bacteria found in soil and has associated with infliximab use as well as contamination of continuous positive airway pressure (CPAP) devices which the patient may be using to treat obstructive sleep apnea. Pulmonary nocardiosis may have a subacute presentation as in this case, perhaps related to this patient’s immunosuppressed status. The workup would include bronchoalveolar lavage with modified acid-fast stain for nocardiosis, acid-fast staining for mycobacteria and immunofluorescent staining for pneumocystis.

Student (Veterans Affairs Medical Center, Providence, RI)

Working Diagnosis: Tuberculosis

The patient’s presentation and current findings are most concerning for active or recurrent tuberculosis (TB). The beginning of his disease course occurring one week after his last infliximab injection as well as his unintentional weight loss, night sweats, dry cough, monocytosis, hilar enlargement, and lower lobe predominance all support this diagnosis. Infliximab has also been specifically associated with an increased risk of TB as a tumor necrosis factor (TNF)-alpha inhibitor and immunosuppressant. While the lack of fever and general leukocytosis may argue against TB, it can present insidiously with 50% of patients with active TB never mounting a fever. In this immunocompromised patient we may not see cavitations on pulmonary imaging as his tissue macrophages may be less effective at containing mycobacteria. My differential includes atypical community acquired pneumonia, sarcoidosis and lymphoma. Next steps in workup include acid-fast bacteria staining of the sputum and bronchoalveolar sample as well as mycobacterial culture, in addition to a broad workup for causes of pneumonia, with mediastinal lymph node tissue sampling to evaluate sarcoidosis and lymphoma.

Student (Longitudinal Integrated Clerkship)

Working Diagnosis: Pneumocystis jurovecii Pneumonia

This patient presents with dyspnea, dry cough, night sweats, weight loss and hypoxia. Due to the patient’s immunosuppression and pulmonary infiltrates, he is at risk of Pneumocystis jirovecii pneumonia (PJP). This clinical picture fits with PJP due to the subacute onset and use of biological agent such as infliximab. Evidence against pneumonia includes lack of fever, leukocytosis and negative viral PCR panel. We must be cautious as use of infliximab, may prevent the development of inflammatory signs such as fever and leukocytosis. My differential diagnosis included ILD, malignancy, and pulmonary embolism. Workup would include discontinuation of infliximab, pulmonary consultation and bronchoalveolar lavage with immunofluorescent staining for Pneumocystis.

Dr Robert Simmons-Beck

I would first consider the acute presentations which may put the patient at risk more rapidly due to infliximab use. These include COVID-19 pneumonia, Legionella pneumonia which may be accompanied by severe hypoxia and hyponatremia, miliary/disseminated tuberculosis though this may present with a more diffuse pattern on pulmonary imaging, as well as histoplasmosis, cytomegalovirus, and coccidiomycosis. I am intrigued by the differential brought up of tracheo-esophageal fistula though patients tend to present more acutely and are quite ill appearing to initial evaluation, with right sided pleural effusion as well as mediastinal air. Concerns for ILD include pneumonitis due to infliximab, pulmonary vasculitis, in particular, antineutrophil cytoplasmic antibodies associated vasculitis, acute interstitial pneumonia also known as Hamman-Rich syndrome, and bronchiolitis obliterans organizing pneumonia which has been associated with Crohn’s disease. Lastly, I would include sarcoidosis which may present with reticulonodular opacities on imaging. My workup would include obtaining a sputum sample and a thorough occupational and travel history, repeat SARS-CoV-2 testing, bronchoalveolar lavage, serum and urine fungal markers, and possible surgical or transbronchial lung biopsy.

Hospital Course

The patient underwent a broad workup for causes of infectious pneumonia. Sputum, bronchoalveolar lavage and left lower lobe transbronchial biopsy samples were obtained. Serum beta-D-glucan and urine Histoplasma antigen were elevated. Tissue from the left lower lobe revealed small oval shaped yeast forms and associated granulomas consistent with Histoplasma capsulatum.

Final Diagnosis

Pulmonary Histoplasmosis

Discussion

Histoplasmosis is the most prevalent endemic mycosis in the United States and is responsible for 500,000 new infections annually.1–3 Histoplasma mycelia are primarily found in soil contaminated by bird or bat droppings within the Ohio and Mississippi River Valleys. Human exposure to histoplasma occurs through inhalation of the fungi.4 Most exposed individuals will remain asymptomatic. Of those patients that do develop symptoms, a majority will present with acute pulmonary histoplasmosis.5,6 Risk factors for developing symptomatic disease are level of exposure, immunosuppression, extremes of age, and underlying lung disease.7 Patients on TNF blockers are at an especially elevated risk for histoplasmosis infection given TNF’s role in cellular defense against Histoplasma.1 Patients with acute pulmonary histoplasmosis will usually present within two weeks of exposure. Symptoms are usually that of fever, chills, myalgias, cough and pleuritic chest pain. When acute pulmonary histoplasmosis is suspected, antigen testing of blood urine or BAL fluid should be the primary means of diagnosis. Histopathology, cytology, and fungal culture are also possible means of identification, but are less helpful in the acute setting.2 Once the diagnosis of pulmonary histoplasmosis is made, treatment with antifungal agents should be initiated. In mild to moderate disease, oral itraconazole can be used. For more severe presentations, amphotericin B may be used initially. Treatment is usually continued for 6-12 weeks total.6 Prognosis for acute pulmonary histoplasmosis is usually very good, apart from patients on TNF blockers, who can have up to a 20% mortality rate.1 As a result, patients about to start TNF blockers should be educated about their risk for acquiring histoplasmosis, and patients with a prior history of histoplasmosis infection should have confirmation of resolution of infection before starting TNF blocker therapy.


Conflicts of Interest

The authors declare no conflicts of interest.

Funding Statement

No funding was obtained for this manuscript.

Author Contributions

All authors have reviewed the final manuscript prior to submission. All the authors have contributed significantly to the manuscript, per the International Committee of Medical Journal Editors criteria of authorship.

  • Substantial contributions to the conception or design of the work; or the acquisition, analysis, or interpretation of data for the work; AND

  • Drafting the work or revising it critically for important intellectual content; AND

  • Final approval of the version to be published; AND

  • Agreement to be accountable for all aspects of the work in ensuring that questions related to the accuracy or integrity of any part of the work are appropriately investigated and resolved.

Acknowledgements

Rebecca Wales, Nailah Tucker, Kevin Chen

Corresponding author

Arkadiy Finn, MD
Assistant Professor of Medicine, Clinician Educator
Warren Alpert Medical School at Brown University
Division of Hospital Medicine
The Miriam Hospital, 164 Summit Avenue, Providence, RI 02906
Tel: 401-793-2104
Email: afinn1@lifespan.org
ORCID: 0000-0002-1630-1137