Background
IgG4-related disease (IgG4-RD) is a rare systemic fibroinflammatory condition that can affect virtually every organ system. It is characterized by a dense lymphoplasmacytic infiltrate of IgG4-positive plasma cells, histologic storiform fibrosis, and elevated serum IgG4.1 It was first characterized as an entity in 2003, and discrete diagnostic criteria have since been developed by experts in rheumatology.2 Here, we discuss how IgG4-RD, “the perfect mimicker,” proved difficult to diagnose in the setting of a patient with Sjogren’s disease.
Case Presentation
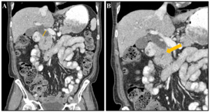
A 77-year-old male with a past medical history of rectal adenocarcinoma treated with chemoradiation and total proctectomy complicated by a colocutaneous fistula requiring colostomy and suppressive antibiotics (cefdinir 300mg, metronidazole 250mg) was referred to the emergency department by his rheumatologist for elevated liver function tests (Aspartate aminotransferase (AST) 417 U/L, Alanine aminotransferase (ALT) 409 U/L, Alkaline phosphatase (ALP) 730 U/L) on routine outpatient labs. His medical conditions further included recently diagnosed type 2 diabetes treated with metformin and Sjogren’s disease, not currently on treatment. On presentation, the patient was asymptomatic and vital signs demonstrated a temperature of 36.7°C, blood pressure of 137/80 mm Hg, heart rate of 86 beats/min, respiratory rate of 12 breaths/min, and O2 saturation of 98% on room air. On examination, he had an intact colostomy, and his abdomen was non-tender and without appreciable masses. No rashes, petechiae, or jaundice were noted. Computed tomography (CT) of the abdomen demonstrated a severely dilated common bile duct, with a possible stricture versus mass noted at the mid-distal common bile duct (Figure 1).
Workup was pursued for infiltrative, obstructive, malignant, and autoimmune causes. Subsequent magnetic resonance cholangio-pancreatography (MRCP) confirmed the presence of a focal stricture in the distal common bile duct at the pancreatic head, as well as nonspecific mesenteric and retroperitoneal lymphadenopathy. Admission labs demonstrated persistently elevated transaminases and ALP, elevated lipase, and normal total bilirubin (Table 1). Given these factors – involvement of both biliary and pancreatic systems, unusually normal bilirubin in the setting of possible obstructive pathologies, nonspecific lymphadenopathy, history of salivary gland pathology, and recently diagnosed diabetes – IgG4-related disease was considered.
Chart review revealed that the patient had significantly elevated IgG Subclass 1-4 values two months prior. Repeat labs again showed elevation (Table 1). The patient underwent endoscopy and biopsy of the pancreas, given the MRCP findings. Pathology demonstrated areas of storiform fibrosis (Figure 2) and lymphocytic infiltrate, and immunohistochemistry showed >10 IgG4 plasma cells per high-power field, meeting histopathologic criteria for IgG4-related disease. There was no evidence of malignancy.
To prevent progression of fibrosis, the patient was treated with a prednisone taper beginning at 30mg daily. He started induction therapy with two 1g doses of rituximab (an anti-CD20 antibody) administered 14 days apart. Following treatment, the patient’s liver function tests normalized, and marked decreases were seen in the serum IgG subclasses and lipase (Table 1). CT abdomen/pelvis obtained four months later demonstrated resolution of the intrahepatic and biliary dilation and lymphadenopathy seen prior.
Discussion
IgG4-related disease (IgG4-RD) is an insidious condition that involves immune dysregulation and deposition of IgG4 antibodies in various organs, leading to chronic inflammation, tissue damage, and ultimately, fibrosis of the affected organ without timely treatment.2 The incidence of IgG4-RD in the United States has been estimated at 1.20 per 100,000 person-years and is associated with a 2.5-fold higher risk of death compared to matched controls. The average age of diagnosis is the sixth decade of life, and it affects people of diverse racial and ethnic backgrounds.3
The pathophysiology of this condition involves T-cell-dependent activation of circulating B-cells following an initial antigen trigger, resulting in a hypergammaglobulinemia with expansion of both B-cell plasmablasts and the oligoclonal IgG4 protein.4,5 It is hypothesized that the increase in serum IgG4 in these patients is a sign of a failed counter-response to the original immune dysregulation.6 IgG4+ clones infiltrate tissues leading to organ inflammation and fibrosis, with the pancreas, kidney, lung, major salivary glands, and biliary tree particularly affected.7 IgG4-RD autoimmune pancreatitis (IgG4-RD AIP) is the typical form of the condition and can present as diabetes mellitus and weight loss due to exocrine pancreatic insufficiency.6 More than 70% of patients have biliary tract involvement (IgG4-related sclerosing cholangitis), and nearly 40% have salivary or lacrimal gland involvement manifesting as sialadenitis and dacryoadenitis.8,9
Given the heterogeneity and complexity in IgG4-RD presentation, the 2019 American College of Rheumatology/European League Against Rheumatism (ACR/EULAR) IgG4-RD classification criteria was established to aid in diagnosis, and it represents a significant milestone in both recognition and understanding of the disease. The entry criteria are listed as characteristic clinical or radiological involvement of a typical organ, or pathological evidence of an inflammatory process accompanied by a lymphoplasmacytic infiltrate of uncertain etiology in one of these organs. “Characteristic involvement” is defined as enlargement or tumor-like mass in an affected organ. Depending on histopathology, gland involvement, serum concentrations, and other organ manifestations, inclusion points are added.2 These criteria emphasize that a combination of clinical, radiological, serological, and histopathological findings is required to establish a diagnosis.
Sjogren’s disease is a similar autoimmune condition that affects the exocrine glands by lymphocytic infiltration, resulting in dry mouth and eyes. Given that both Sjogren’s and IgG4-RD can present with parotid and lacrimal gland symptoms, it has been historically difficult to distinguish between the two conditions; in fact, Mikulicz’s disease (a particular manifestation of IgG4-RD) was once considered a subtype of Sjogren’s until 2004. Since then, comprehensive criteria for both conditions have been established.10 Interestingly, each lists the other as an exclusion criteria.
Our patient met IgG4-RD criteria based on histopathology (+13), immunostaining (+7), serum IgG4 > 5 times the upper limit of normal (+11), bilateral lacrimal and salivary gland enlargement (+14), chest imaging with peribronchial and septal thickening (+4), pancreas and biliary tree involvement (+19), and suspected kidney involvement with bilateral renal cortex low-density areas on imaging and hypocomplementemia (+10) (Supplementary Table). His score was 78, with the inclusion cutoff being ≥ 20.
However, the patient also met the criteria for primary Sjogren’s syndrome (pSS) with oral dryness, SSA antibodies, and unstimulated saliva flow rate. Serologies were notable for positive anti-nuclear antibody 1:640 with homogenous pattern, positive rheumatoid factor, thrombocytopenia, positive cryocrit at 1%, and low complement levels. Prior to hospitalization, there was concern for Sjogren’s-related cryoglobulinemic vasculitis in the context of peripheral sensory neuropathy, Raynaud’s disease, and petechiae/purpura with the aforementioned laboratory abnormalities. Symptomatic cryoglobulinemic vasculitis is observed in about 3-4% of pSS cases and is closely linked to lymphoma.11 In this case, there was no lymphoma identified.
Paradoxically, this patient met both conditions’ exclusion criteria. Further confirmation of Sjogren’s could have been elicited with salivary gland biopsy, which could demonstrate lymphocytic sialadenitis, IgG4+ cells, or incidental non-Hodgkin’s MALT lymphoma. However, his rheumatologist deferred a labial biopsy, given that it would not have changed the ultimate treatment decision. Furthermore, the sensitivity of labial biopsies in both IgG4-RD and Sjogren’s are shown to be low and vary with sample quality (55.6%, 45.8-91.6%, respectively).12
This case highlights the pragmatic difficulty of classifying and treating rheumatic disease. While various ACR/EULAR criteria are useful for strict trial enrollment, they may perhaps be less helpful for delineating diseases in clinical practice. This patient likely has an overlap syndrome of Sjogren’s with extra-glandular manifestations as well as IgG4-RD, and rituximab is a viable treatment for both diseases. Initial treatment paradigms for IgG4-RD were extrapolated from studies of glucocorticoids in type 1 (IgG4-related) autoimmune pancreatitis.13 A prednisolone dose of 0.6 mg/kg/day or equivalent is recommended for induction therapy, though relapse is expected after taper of corticosteroids.13 An open-label trial of 30 patients with IgG4-RD demonstrated that B-cell depletion with rituximab is also an effective induction therapy for improving disease activity and decreasing steroid dependence.14 Maintenance therapy with rituximab was demonstrated to prevent relapse in a small cohort.15 Given the rarity of this disease, large-scale randomized trials have yet to be conducted. In this case, the patient received steroid and rituximab induction therapy, and he was continued on rituximab 1g singular dose after six months for maintenance.
Author Contributions
All authors have reviewed the final manuscript prior to submission. All the authors have contributed significantly to the manuscript, per the International Committee of Medical Journal Editors criteria of authorship.
-
Substantial contributions to the conception or design of the work; or the acquisition, analysis, or interpretation of data for the work; AND
-
Drafting the work or revising it critically for important intellectual content; AND
-
Final approval of the version to be published; AND
-
Agreement to be accountable for all aspects of the work in ensuring that questions related to the accuracy or integrity of any part of the work are appropriately investigated and resolved.
Disclosures/Conflicts of Interest
The authors declare they have no conflicts of interest.
Corresponding author:
Ju Young Lee
Department of Medicine,
David Geffen School of Medicine at University of California, Los Angeles
Email: juyl.0304@gmail.com
_severe_18mm_common_bile_ductal_dilatation_(b)_p.png)