Background
Hydralazine is a vasodilator that is often used to treat hypertension. However, its use is associated with several potential adverse effects such as vasculitis, glomerulonephritis, and drug-induced lupus erythematous.
Case Report
A 74-year-old male with a past medical history significant for hypertension and chronic kidney disease was admitted to the hospital due to a bloody cough, night sweats, shortness of breath, and dark urine for one week prior to admission. His home medications included hydralazine (started one year ago on 25 milligrams three times a day), carvedilol, losartan, omeprazole, and rosuvastatin. Of note, he also reported a newly formed erythematous rash over the lower back two weeks prior to admission, which was biopsy-confirmed as leukocytoclastic vasculitis, which was treated with prednisone 60 milligrams daily but with minimal improvement.
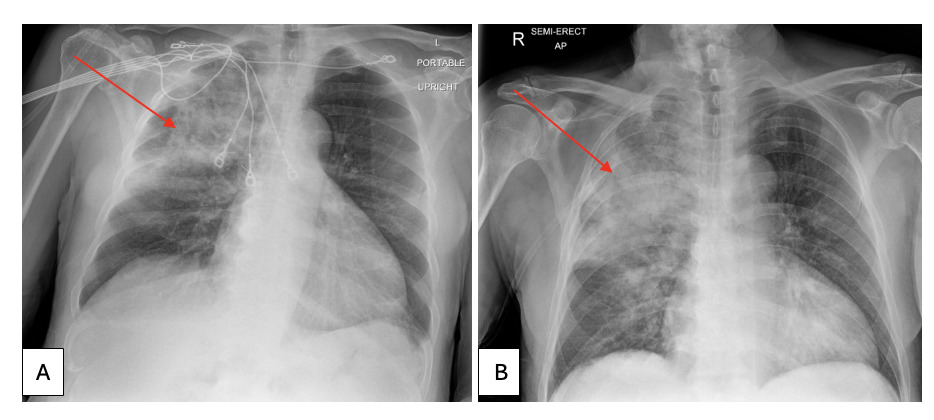
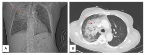
On arrival, he presented with a blood pressure of 127/55, a respiratory rate of 20 breaths/min, and an oxygen saturation of 89% on a high-flow nasal cannula. The patient was not in acute distress and auscultation of the lungs was unremarkable. Laboratory test results revealed a leukocyte count of 14.5 x 109 cells/L (reference, 4.0-10.7 x 109 cells/L) with neutrophilic predominance, hemoglobin of 8.7 g/dL (reference, 13.3-17.5 g/dL), procalcitonin of 3.88 ng/mL (reference, <=0.10 ng/mL) and creatinine of 1.95 mg/dL (reference, 0.71-1.16 mg/dL). Urinalysis was positive for 2+ protein and 3+ blood. Additionally, an acid-fast bacillus (AFB) test was obtained. Chest radiography (CXR) showed airspace and interstitial opacification of the right upper lobe with trace left pleural effusion with considerable worsening in the degree of right upper lobe consolidation with newly found infiltrate in the medial aspect of the right lower lung zone and left lung base in a subsequent CXR a day later (Figure 1). Computed tomography angiography of the chest also confirmed dense consolidations in the right upper lobe with scattered ground-glass opacities, concerning for multifocal pneumonia (Figure 2).
He was started on ceftriaxone and azithromycin. Hydralazine and prednisone were stopped. He was admitted to the medicine unit with consults to rheumatology, pulmonology, and nephrology for concerns of infection versus vasculitis versus pulmonary-renal syndrome. Initial serologies showed negative anti-nuclear antibodies (ANA), glomerular basement membrane antibodies, anti-histone antibodies, myeloperoxidase (MPO) antibodies, ribonucleoprotein antibodies, anti-proteinase 3 (PR3) antibodies, and anti-Smith antibodies. However, double-stranded DNA antibodies and antibody IgG were elevated at 161 (ref: 0-24 IU) and 1:40 (ref: <1:10), respectively.
Due to the patient’s worsening creatinine (baseline of 1.2 mg/dL and trending as high as 2.61 mg/dL), hematuria, and concern for renal involvement in the setting of small-vessel vasculitis or lupus, nephrology conducted an ultrasound-guided left renal biopsy. Biopsy results were unremarkable for signs of cryoglobulinemic glomerulonephritis and showed acute tubular necrosis. Glomeruli were negative for crescents and negative for fibrinoid necrosis. His hemoglobin dropped to 6.8 g/dL (reference, 13.3-17.5 g/dL), which improved with a transfusion of packed red blood cells. In the context of hemoptysis, dyspnea, and significantly reduced hemoglobin, further investigation into the source of potential hemorrhage was imminent. As a result, a bronchoscopy was also completed the same day, which yielded heavy RBCs without organisms and a bronchoalveolar lavage suggestive of diffuse alveolar hemorrhage (DAH) (Figure 3).
Following these results, rheumatology started the patient on intravenous methylprednisolone 40 milligrams three times a day. The outside hospital records indicated that the patient had positive MPO, ANA, and antineutrophil cytoplasmic antibodies (ANCA) a few weeks prior, which differed from our initial serology results. Repeat MPO and ANCA panels were sent, which eventually confirmed the presence of elevated MPO antibodies of 27 AU/mL (reference, 0-19 AU/mL), ANCA titer immunofluorescence of >1:1280 (reference, <1:20), and an ANCA pattern immunofluorescence of perinuclear-ANCA. The patient’s condition gradually improved from the day after starting steroids and continued throughout the hospitalization. He completed a 7-day course of antibiotics, had no hemoptysis, was weaned off oxygen, and had negative AFB results. At discharge, he was prescribed 60 mg of methylprednisolone for four weeks, followed by a 5-week taper (decreasing by 10 mg weekly). He was advised to follow up with his primary care physician for CBC, CMP, hypertension monitoring, and outpatient rheumatology, pulmonology, and nephrology visits.
Discussion
Hydralazine is a known arterial vasodilator often used to treat essential hypertension, heart failure with reduced ejection fraction, and hypertensive emergency.1,2 Literature notes that roughly 5-10% of patients suffer from hydralazine-induced lupus (HIL) which can involve not only musculoskeletal pain, but also renal, pulmonary, and neurologic signs and symptoms.1,3 However, hydralazine is also known to induce hydralazine-induced ANCA vasculitis (HIAV) which can be challenging to delineate from HIL given overlapping clinical features and markers such as positive ANA and hypocomplementemia.4 Our patient was treated as HIAV because of his elevated MPO antibodies, hypocomplementemia and more severe condition with hemoptysis from DAH, kidney damage, and recent skin findings with biopsy-positive leukocytoclastic vasculitis which are all more consistent with small vessel vasculitis rather than HIL.5,6 Other differential diagnoses that were considered included Goodpasture syndrome, invasive fungal infections including aspergillosis or mycobacteria, systemic lupus erythematosus, cryoglobulinemia, and hypocomplementemic urticarial vasculitis syndrome.
While the specific mechanism for HIAV is not fully understood, several theories include preferential autoreactivity of renal and pulmonary vasculature by anti-MPO or PR3, biotransformation, or activation of the innate immune system from neutrophil muscarinic receptors.7 The interaction of hydralazine with MPO may also induce apoptosis and an inflammatory response from cytokinetic processes that damage small vessels such as in the kidneys and lungs.5,8 Additionally, the epidemiology and risk factors remain understudied in literature. Documented cases have noted that patients with HIAV often presented as older female patients who have been on routinely prescribed hydralazine dosages for fewer than five years.6 Currently, HIAV appears to be dose-dependent with an annual incidence ranging between 5-10% in patients, particularly on higher dosages such as 200 mg per day.9,10 In our case, our patient developed HIAV on a lower dose (total of 75 mg per day).
Strict diagnostic criteria have not been established for HIAV, although previous studies have identified guiding criteria such as a temporal relationship between symptoms and cessation of hydralazine. Despite its rarity, HIAV is an important consideration to keep in mind because of the increased mortality risk. Studies have indicated that DAH in the setting of ANCA-associated vasculitis, including HIAV, is the most significant predictor of mortality.4,11
The combination of both glomerulonephritis and pulmonary hemorrhage is indicative of pulmonary-renal syndrome, which is correlated with a high mortality risk even if addressed medically.1,4,12 While our patient’s kidney biopsy did not show signs of glomerulonephritis, effectively ruling out pulmonary-renal syndrome, we continued to treat and monitor aggressively due to the patient’s rapidly increasing creatinine to 2.61 mg/dL (ref 0.71-1.16 mg/dL) and hemoglobin of 6.8 g/dL (ref 13.3-1.7.5 g/dL) requiring packed red blood cells transfusion during his hospitalization. Patients with suspected HIAV should have an ultrasound-guided renal biopsy to assess for vasculitis. Life-threatening manifestations, like overt hemoptysis, require early cessation of the offending drug and aggressive treatment with steroids or, in severe cases, cyclophosphamide or rituximab.5,6,13 No additional agents were used beyond IV methylprednisolone, as the patient showed significant improvement. A thorough review of medications associated with drug-induced vasculitis (DIV), such as hydralazine, allopurinol, and minocycline, is essential.
Management of patients with DIV should include a comprehensive substance use history or urine drug screening to evaluate for cocaine use, as levamisole—commonly used as a cocaine adulterant—has been implicated in DIV.10,11 In our case, hydralazine was explicitly added to the adverse reaction list for future reference, and the patient was discharged with a steroid tapper. Overall, we hope this rare case of HIAV with confirmed DAH highlights the importance of considering rare medication side effects in the setting of unusual disease presentation or negative biopsy results that rule out alternative differential diagnoses.
In conclusion, this case highlights the importance of promptly recognizing hydralazine-induced ANCA vasculitis as a potential cause of diffuse alveolar hemorrhage and renal impairment, emphasizing the need for early drug cessation and aggressive immunosuppressive therapy to prevent life-threatening complications.
Author Contributions
All authors have reviewed the final manuscript prior to submission. All the authors have contributed significantly to the manuscript, per the International Committee of Medical Journal Editors criteria of authorship.
-
Substantial contributions to the conception or design of the work; or the acquisition, analysis, or interpretation of data for the work; AND
-
Drafting the work or revising it critically for important intellectual content; AND
-
Final approval of the version to be published; AND
-
Agreement to be accountable for all aspects of the work in ensuring that questions related to the accuracy or integrity of any part of the work are appropriately investigated and resolved.
Disclosures/Conflicts of Interest
The authors declare they have no conflicts of interest.
Corresponding author
Farzana Hoque, MD, MRCP, FACP, FRCP
Associate Professor, Department of Medicine,
Saint Louis University School of Medicine, St. Louis, MO, USA.
Email:<farzanahoquemd@gmail.com,>
Phone: 314-257-8222
_initial_chest_radiograph_showing_interstitial_opacification_(arrow)_of_the_right_upper.png)
_computed_tomography_revealing_dense_consolidation_opacities_(arrow)_in_the_right_upper.png)
