A 49-year-old female with past medical history of anxiety and uterine fibroids was admitted to our medical center for severe lower abdominal pain twenty-four hours after uterine fibroid embolization of multiple uterine leiomyomas by her interventional radiologist. She rated her pain as 10 out of 10 in severity and oral analgesics provided no significant relief. She had an objective fever at home for which she took Acetaminophen. Her temperature on admission was 38-degrees C. Her blood pressure was 110/70 mmHg, with a heart rate of 84 beats per minute. She had a respiratory rate of ten breaths per minute and oxygen saturation of 99% on room air. The patient denied taking oral contraceptives, vaginal discharge, dysuria, urinary frequency, urgency or pyuria. She denied a history of malignancy, deep vein thrombosis (DVT), family history of malignancy or any personal or familial blood clotting abnormalities. Physical examination revealed lower abdominal tenderness, but no guarding or palpable mass. Her pelvic exam was only significant for mild right adnexal discomfort on bimanual exam and no specific mass was appreciated. Her white blood cell count was mildly elevated at 10.7 x109/L with 80% neutrophils (normal 4.5 to 11.0 × 109/L). The rest of the complete blood count and comprehensive metabolic profile were within normal limits. Her pregnancy test, urine analysis and pelvic cultures were negative. Blood and urine cultures sent in the ED were both negative.
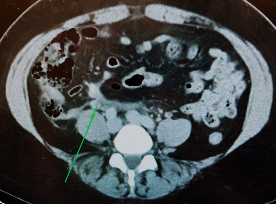
Computed tomography (CT) scan of her abdomen and pelvis with intravenous (IV) contrast was performed and showed an enlarged uterus (fourteen weeks) with multiple intramural and some submucosal leiomyomas. Mild fat stranding and haziness was seen in the right retroperitoneal area with a partial thrombosis of the right mid gonadal vein (Figure 1, arrow). Our consulting hematologist recommended treating her GVT with full anticoagulation with low molecular weight heparin (LMWH) in the post-operative setting for seven days to reduce the risk of embolization. The risk/benefit of starting a direct oral anticoagulant (DOAC) were discussed with the patient, and she was started on Apixaban, 5mg twice daily for a duration of three months with close outpatient follow-up. She saw her primary care doctor two weeks after her discharge from hospital and all symptoms had resolved.
Uterine Artery Embolization (UAE) is a minimally invasive procedure that blocks arterial blood supply to uterine fibroids which, over time, lead to degeneration and scar formation of fibroid tissue. The usual clinical presentation of a GVT includes fever, gastrointestinal symptoms, and a palpable abdominal mass1–3 (present in up to 46% of cases). GVT may progress to pulmonary embolism (PE) as the right ovarian vein drains directly into the inferior vena cava unlike the left ovarian vein which drains into the left renal vein. Right ovarian vein GVT is more common (70-80% of cases) than left due to its anatomic position, antegrade flow, its longer length, and lack of competent valves.2,4,5 Likewise, Pregnancy related ovarian vein thrombosis occurs most commonly at around 30 years of age while those due to other causes usually occur in women in their fourth or fifth decade of life. With minimally invasive procedures including fibroid embolization being performed more frequently, the incidence of GVT is expected to increase. It should therefore be considered one of the differential diagnoses in patients presenting with severe pain and fever after a pelvic procedure.
The pathophysiology of GVT in this case, like any other DVT, is attributed to the co-occurrence of endothelial disruption, venous stasis, and hypercoagulability (Virchow’s Triad).6 The symptoms of the GVT can be challenging to distinguish from other intra-abdominal pathology. Imaging plays an important role in the diagnosis. Pelvic ultrasound is usually the first line imaging modality, but accuracy of imaging obtained by ultrasound is limited by the patients’ body habitus, bowel gas pattern and/or the operators’ skill. Computed Tomography (CT) or Magnetic Resonance Imaging (MRI) with contrast may be more accurate for clinching the diagnosis, but there is currently no gold standard test. In this case, we postulated that the fat stranding and haziness seen in the right retroperitoneal area was procedure related inflammation. Furthermore, it is likely that the procedure itself, with the embolization of so many uterine fibroids (fifteen), could have produced the degree of inflammation to account for her symptoms on presentation. When added to the transient hypercoagulability and post procedure immobilization the cascade leading to venous thrombosis likely occurred. Although rare, this partial GVT had the potential to progress and ultimately embolise to the lung.7 Our clinical decision to treat her was based on the higher risk of pulmonary embolism versus the potential side effects of anticoagulation. In patients with gonadal vein thrombosis, it is also recommended that localized malignancy be ruled out which it was in this case.
The gonadal vein is an unusual site for thrombosis and there are no randomized controlled trials (RCT’s) on the best treatment approach. A small study published in Blood Advances in 2017 on GVT’s8 informed the initial anticoagulation regimen. Based on fifty patients diagnosed with GVT, only those patients who were symptomatic, had underlying sepsis, or were associated with other DVT’s required anticoagulation.8 Consequently, our patient was started on full dose low molecular weight heparin (LMWH) to prevent progression of clot and pulmonary embolus. The available data, though limited, recommended full anticoagulation with LMWH or unfractionated heparin for 7 to 10 days. When considering her long-term anticoagulation plan, we noted that the majority of GVT’s occur in the setting of the postpartum period, after abdominal-pelvic surgery, with pelvic inflammatory disease, malignancy, or inflammatory bowel disease.9 Similarly, congenital hypercoagulable disease, when present would warrant a longer course of anticoagulation. In addition, most adverse events, including progression of thrombus or PE in patients with GVT occurred within the first eight weeks post diagnosis.9 Given these factors and working on the assumption that once her uterine inflammation had resolved, she would no longer be at risk for clotting. We chose to proceed with a shorter course of oral anticoagulation for 12 weeks. The recommendation for GVT in general is long term anti-coagulation for 3 to 6 months for any postpartum and post-operative GVT. Initially, a Vitamin K antagonist, or a DOAC that directly inhibits either Factor IIa or Factor Xa is recommended with close follow up to determine if longer duration therapy is warranted.10 More recent reports suggest using 5-10 mg of direct oral anticoagulant (DOAC) as preferred agent based on ease of use.10–12 The risk/benefit of starting a DOAC was discussed with the patient, and she was started on Apixaban 5mg twice daily for a duration of three months with close outpatient follow-up. It is worth noting that given the epidemiology of GVT, DOAC’s are not appropriate for use in pregnancy or in breastfeeding mothers.
Author Contributions
All authors have reviewed the final manuscript prior to submission. All the authors have contributed significantly to the manuscript, per the International Committee of Medical Journal Editors criteria of authorship.
-
Substantial contributions to the conception or design of the work; or the acquisition, analysis, or interpretation of data for the work; AND
-
Drafting the work or revising it critically for important intellectual content; AND
-
Final approval of the version to be published; AND
-
Agreement to be accountable for all aspects of the work in ensuring that questions related to the accuracy or integrity of any part of the work are appropriately investigated and resolved.
Conflicts of Interest/Disclosures
The authors confirm that there are no financial conflicts of interest to report.
Corresponding Author
Michael Lazarus MD
Department of Internal Medicine
University of California, Los Angeles
VA Greater Los Angeles HealthCare System
Email: mlazarus@mednet.ucla.edu
_on_contrast_enhanced_abdominal_pelvic_ct_.png)